Мы активно участвуем в предоставлении широкого спектра NewTom GO 2D Pan. В связи с высоким спросом профессионалы разрабатывают эти продукты в различных спецификациях, которые соответствуют требованиям клиентов.
NewTom 2D GO Новый 2D-прогноз
NewTom GO - это технологическое устройство новой концепции, разработанное для стоматологической практики, для которой требуется простой в использовании, инновационный, надежный продукт, гарантирующий только самые лучшие результаты диагностики.- Преимущества Go-адаптивная фокусировка и фильтры обеспечивают всегда отличные результаты диагностики.
- Протокол ECO-PAN и технология SafeBeam сокращают время воздействия и устраняют риск превышения расчетной дозы.
- Точное позиционирование под руководством пациента и сверхбыстрое сканирование доступны вам одним нажатием кнопки.
- Простая, быстрая, интеллектуальная установка гарантирует, что NewTom GO готов к немедленному запуску.
Идеальное Расположение
Серво управление с помощью встроенной клавиатуры или приложения для мобильных устройств.Три лазера прослеживают контрольные линии для области интереса и большого зеркала перед пациентом для полного обзора со всех сторон.
Блок поддержки головы с четырьмя опорными точками: две боковые самоблокирующиеся опоры для головы, опора для подбородка и прикус.
Технология Безопасного Луча
Сверхэффективное решение NewTom автоматически адаптирует экспозицию в соответствии с анатомическими размерами пациента, устраняя любой риск завышения дозы.Сверхбыстрое сканирование
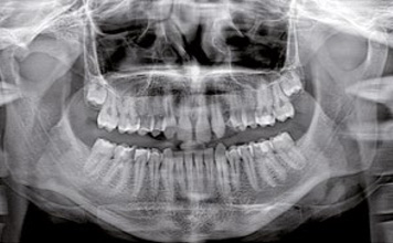
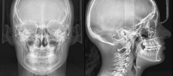
Устройство может выполнить сканирование всего за 6,6 секунды, обеспечивая минимальное воздействие на пациента.Углубленное Клиническое Исследование
NewTom GO адаптируется ко всем различным потребностям хирургической операции, предоставляя выбор из 18 программ.Улучшенная Связь
Благодаря подключению к Ethernet, NewTom GO можно дистанционно управлять с помощью удобной виртуальной панели управления с помощью ПК или приложения, которое также доступно для iPad.Выбор Из Нескольких Изображений
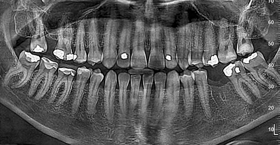
MultiPan может создать набор из пяти различных панорамных изображений с помощью одного сканирования, чтобы пользователь мог выбрать наиболее подходящий вид.Комплектация
- 25 2D программ;
- Компьютер для 2D исследований;
- Лицензия на 5 рабочих мест.