Giano HR
Идеальное видение
Неограниченный диагностический потенциал
- Мощная диагностика.
- Технология HR от Newtom.
- Безопасность пациента.
- 10” сенсорная консоль.
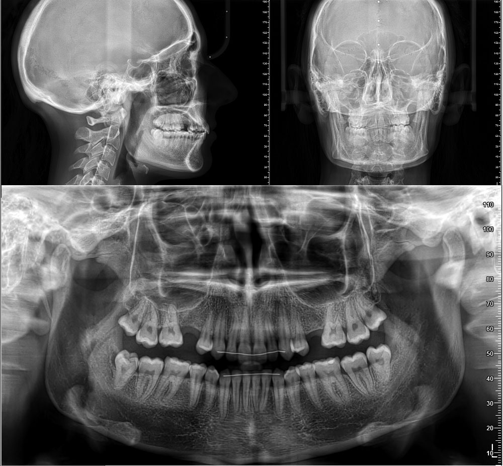
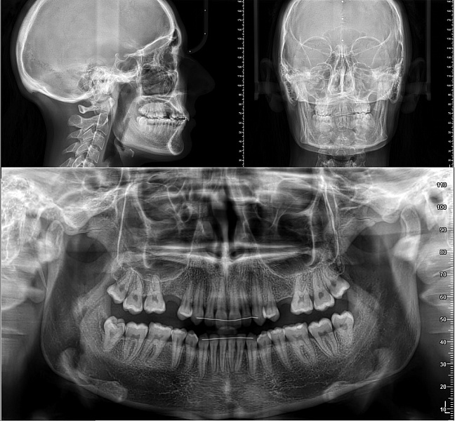
Комплексный гибрид КЛКТ для 2D/3D визуализации. Изображения в высоком разрешении с захватом мельчайших деталей
GIANO HR – универсальное обновляемое устройство от NewTom для всех задач, связанных с радиографией. Благодаря полному диапазону опций 2D и 3D исследования для стоматологии оно предлагает множество особых трехмерных обследований для челюстно-лицевой хирургии, оториноларингологии и осмотра шейного отдела позвоночника. Визуализация только наивысшего качества с технологиями и опытом NewTom.
ИНТЕГРИРОВАННАЯ ПРОГРАММНАЯ ПЛАТФОРМА NNT
Лучшая платформа для съемки, обработки и отправки 2D/3D диагностических снимков
NNT – программное обеспечение NewTom, предоставляющее несколько специальных режимов применения для имплантологии, эндодонтии, пародонтологии, челюстно-лицевой хирургии и радиографии. Это мощное технологически новейшее устройство, разработанное, чтобы снимать и обрабатывать изображения в несколько простых шагов для получения информации, необходимой для конкретного подробного диагноза пациенту. Продвинутое устройство, дающее врачу специальные инструменты для измерения анатомической области (расстояния и углы), нахождения нижнего альвеолярного нерва и замера объема верхних дыхательных путей.
NewTom GiANO HR новейшая модель была официально представлена на международном конгрессе радиологов ECR 2018 в марте в Вене. Благодаря обновленным системам механики и запатентованным механизмам работы аппарат отличается от своих сверстников Высочайшим качеством получаемых изображений, как 2D, так и 3D. Лучшее качество снимков и мы отвечаем за это! Этот аппарат заменит три аппарата! Панорамный аппарат, цефалометрическая приставка и конусно-лучевая компьютерная томография интегрированы в единую платформу. В комплекте детектор для выполнения 3D исследований с захватом области 13х16 см, Съемный 2D CMOS детектор для выполнения панорамных исследований, и ТРГ.
Комплектация
- Сканер
- Комплект соединительных кабелей
- Рабочая станция
- Программное обеспечение NNT Expert + ключ на 5 рабочих станций (ПК)
Возможности
- Модуль для выполнения 3D исследований методом конического луча
- Детектор для конусно-лучевой 3D томографии с размером FOV 16х18 см
- Модуль для выполнения панорамных исследований
- 2D сенсор для выполнения цефалометрических/ панорамных исследований
- Лазерное позиционирование
- Съемный 2D CMOS детектор для панорамных и цефалометрических исследований
- Режим работы: автоматический или ручной
- Ключ к программному обеспечению NNT Expert
- Крепление аппарата к стене
3 конфигурации, отвечающие любым клиническим и диагностическим задачам
NewTom универсален с выбором наиболее подходящей конфигурации для диагностических задач клиники или рентген-кабинета.
Конфигурация 3D Prime идеальна для применения в общей стоматологии, имплантологии, эндодонтии, гнатологии и общей ортодонтии.
Конфигурация 3D Advanced расширяет потенциал в областях стоматологии и оториноларингологии, включая обследование верхних дыхательных путей.
Конфигурация Professional 3D дает доступ к новым измерениям, включая применение ко всей челюстно-лицевой и зубной области, а также к шейному позвоночнику.
Превосходное обследование с 3D полем обзора и 2D протоколами с наивысшим разрешением снимков, доступным на рынке.
Giano HR предоставляет широкий диапазон 2D и 3D обследований, идеальных для диагностики, затрагивающей всю зубную систему или часть, отдельные зубные ряды и всю челюстно-лицевую область. 3D съемка с полем обзора от 4*4 см до 16*18 см и разрешением до 68 мкм (максимальное разрешение, доступное на рынке) позволяет осматривать гайморовы пазухи, лобные пазухи, височно-нижнечелюстные суставы, дыхательные пути и внутреннее ухо.
Последнее слово в 2D технологиях для широкого ряда диагностических применений, также с детектором прямой конверсии.
GIANO HR – предельно универсальное устройство, которое предлагает подробные изображения и специальные протоколы для взрослых и детей, разработанные, чтобы снизить облучение пациента до необходимого в обследовании уровня. Точная оценка непрорезавшихся зубов, включая патологии и переломы костей; зубных протезов, брекетов и имплантов. Одно устройство, предлагающее новую 2D технологию для многих диагностических применений: полные панорамные изображения для взрослых и детей с отличной ортогональностью, изображения прикусной вилки и зубной системы в высоком разрешении (полностью или по четвертям), снимки височно-нижнечелюстных суставов (ВНЧС) и гайморовых пазух.
С детектором прямой конверсии GIANO HR приносит самые передовые технологии в каждую стоматологическую клинику.
Датчик прямой конверсии поднимает планку очень высокого качества визуализации GIANO HR еще выше. В отличие от традиционных датчиков Детектор Прямой Конверсии из теллурида кадмия (CdTe) не требует преобразования рентгеновских лучей в видимый свет, т.к. способен улавливать их непосредственно и преобразовывать в точные цифровые сигналы. Таким образом можно получать диагностические снимки максимально высокого разрешения при низких дозах рентгеновского излучения, а детализированные снимки можно делать даже там, где более показано быстрое сканирование в режиме ECO Dose.
2D сенсор PAN-CEPH очень высокой чувствительности и рентгеновская трубка последнего поколения для четкого подробного обзора, теперь также с технологией DCIII.
Новейшая система съемки для получения четких однородных панорамных и цефалометрических снимков в невероятно компактном устройстве. Высокочувствительный сенсор CMOS и инновационная трубка обеспечивают беспрецедентное качество изображения.
Широкий диапазон полей обзора для съемки лучших HD изображений, доступных на рынке.
GIANO HR создает объемные изображения благодаря полю обзора от 4*4 см до 16*18 см: точное обследование для всех диагностических задач. Широкий выбор поля обзора и режимы исполнения для особых случаев применения в эндодонтии, оториноларингологии и обследовании головы и шеи с разрешением 68 мкм – максимальным разрешением на рынке.
Модульный, обновляемый и технологически передовой: GIANO HR – идеальное решение для каждой диагностической задачи.
Мощный высокочастотный генератор с очень малым фокальным пятном добивается отличного сканирования и снижает облучение пациента до минимума, обеспечивая при этом быстрый рабочий процесс с небольшими интервалами между осмотрами без перегревания установки.
Продвинутые характеристики для высочайших стандартов диагностики.
Простой, понятный интерфейс, чтобы выбрать наиболее подходящий режим осмотра. Три предустановленных протокола обследования позволяют эффективно определить самый подходящий режим съемки:
ECO Scan: режим, предназначенный для плановых осмотров, таких как повторное обследование после операции и макроструктурный анализ.
Обычный режим: 3D изображения высокого разрешения, идеальные для первичной диагностики и планирования лечения.
Лучшее качество: исключительный уровень детализации для лучших снимков, доступных на рынке, без компромиссов.
Точная диагностика и максимальная забота о здоровье пациента.
GIANO HR предназначен для превосходного комфорта и безопасности пациента во всех случаях как результат выдающейся эргономики и очень низкого времени излучения.
Низкая доза. При обследовании импульсный генератор позволяет минимально подвергать пациента радиации (33%-25% времени сканирования).
ECO SCAN 3D. Делайте объемные снимки с быстрым сканированием (минимум 3,6 с) и значительно сниженными дозами облучения пациента (минимальное облучение - всего 0,9 секунды).
SAFEBEAM™ (патентованная система) Автоматически адаптирует излученную дозу к телосложению пациента, снижая вероятность неоправданно высокой дозы.
Разработан для отличного комфорта и безопасности пациента во всех случаях как результат выдающейся эргономики.
Самоадаптирующееся расположение с 3 лазерными световодами и 7-точечной поддержкой головы упрощает процесс и гарантирует всегда выровненные снимки.
- Панель управления на устройстве.
- Поддержка головы с 7 точками опоры и световод лазера.
- Легкое позиционирование CEPH.