07.07.2023
Beyond Whitening Accelerator - система отбеливания, на которую действительно стоит обратить внимание и которая подходит для ЛЮБОГО стоматологического кабинета.
Эффективное отбеливание + современный дизайн. Это очень мобильная лампа, которую легко передвигать из кабинета в кабинет, что никак не ограничивает вас в месте проведения процедуры.
Beyond Whitening Accelerator позволяет проводить эффективное лечение двух пациентов одновременно. Это опция, которая значительно сэкономит ваше время и увеличит производительность работы.
Ультразвуковая функция использует процесс кавитации, который позволяет отбеливающему гелю воздействовать на эмаль более комплексно и в более короткие сроки. Это означает меньшее время пребывания пациента в кресле, но при этом качественный результат и минимальный риск возникновения чувствительности.
Можно настроить интенсивность света под конкретного пациента, исходя из его особенностей, есть 3 режима: высокая интенсивность (флюороз, тетрациклин), средняя, низкая (гиперчувствительность).

При использовании лампы в сочетании с запатентованной отбеливающей формулой BEYOND, содержащей перекись водорода и диоксид кремния, которые действуют как катализатор, наряду с другими специальными ингредиентами, конечный результат — не только более белые, но и более блестящие зубы без болевых ощущений.
Простая и быстрая подготовка пациента и управление лампой благодаря интуитивно понятному сенсорному цифровому дисплею сделают её вашим надежным помощником.

Также Beyond Whitening Accelerator оснащен функцией ионизации воздуха в помещении во время работы. Благодаря ионизации уменьшается количество загрязняющих веществ в воздухе, которые могут присутствовать в клинике, она активно способствует созданию более чистой и здоровой окружающей среды.

Систему отбеливания BEYOND International признают в Европе, Азии, Южной Америке, Ближнем Востоке и на Африканском рынке, она представлена в 133 странах по всему миру.
BEYOND 8 лет подряд удерживает лидерство, среди производителей профессионального оборудования для эстетической косметологии, что подтверждено международными наградами, потому что компания постоянно занимается исследованиями в производстве отбеливающих систем для создания более эффективных и безопасных формул и методов отбеливания.
Важно, что все расходные материалы вы всегда можете найти в Novgodent, у нас постоянные бесперебойные поставки:
- Индивидуальных ретракторов. Ретрактор BEYOND FlexiPro™ - клиническое стоматологическое устройство, предназначенное для расширения рабочей зоны полости рта при процедурах отбеливания зубов. Щечный ретрактор BEYOND® FlexiPro™ состоит из пары желобовидных граней, которые можно удобно установить на губы пациента, и моста, соединяющего грани устройства. В середине моста находится ограничитель, который удерживает язык пациента во время процедуры и одновременно действует как поддержка для прикуса, на которую пациент может опереться зубами. Ретрактор позволяет расширить вестибулярную поверхность и увеличить рабочую площадь передних 16-20 зубов, а также защитить область губ. Мягкий материал и эластичность обеспечивают безопасные и комфортные условия лечения для пациента. Устройство подходит для холодной стерилизации.
- Наборов для клинического отбеливания зубов Beyond Max 5.

- 5 двухканальных шприцев с гелем Max5 (2,6 г/2,2 мл);
- 5 шприцев BlueSeal (2 г / 1,6 мл);
- 5 смесительных наконечников;
- 5 пластиковых наконечников;
- 5 металлических наконечников;
- 5 защитных масок;
- 1 инструкция;
- 5 цветовых шкал Vita Shade;
- 5 шкал для оценки после процедуры.
Стандартная процедура состоит из 3 последовательных циклов по 10 минут каждый в сочетании со световой активацией. Двухканальный шприц в данном комплекте содержит 35% гель на три цикла. Его рецептура позволяет применять набор с любой системой отбеливания.
Поэтому делая выбор в пользу системы отбеливания Beyond, вы не только получите качественное отбеливание, удобно управление и довольных пациентов, но и гарантию того, что все расходные материла всегда будут вам доступны в необходимом вам количестве .
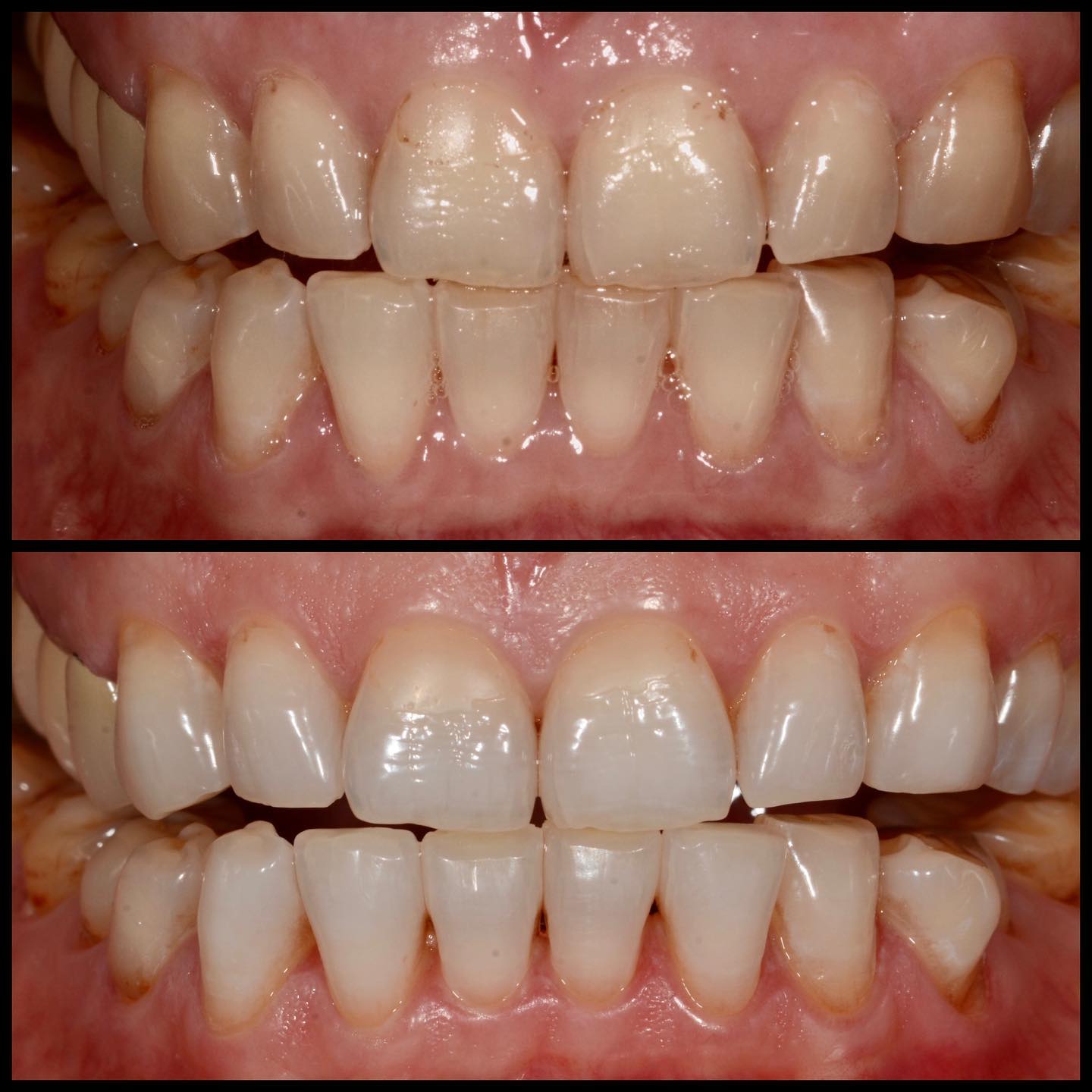
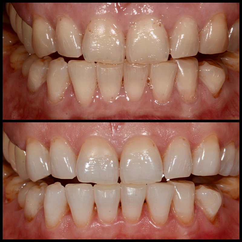
Оценить эффективность системы отбеливания Beyond можно, на фото ниже. Эти работы выполнены в клинике Акулович Андрея Викторовича «Дентикюр».